CNN International گزارش داد که پژوهشگران دانشگاه کینگز کالج لندن (King’s College London) گام بزرگی در مسیر تولید دندان‌های زیستی از سلول‌های انسان برداشته‌اند. این پیشرفت می‌تواند آینده‌ای را رقم بزند که در آن بیماران به‌جای کاشت ایمپلنت‌های فلزی، دندان‌های واقعی خود را دوباره رشد دهند.

پایان دوران ایمپلنت‌های تیتانیومی؟

برای بسیاری از افراد، نشستن روی صندلی دندان‌پزشکی هنوز تجربه‌ای پراسترس است. جایگزینی یک دندان از دست‌رفته با ایمپلنت معمولاً نیازمند کاشت پیچ تیتانیومی در استخوان فک و گذراندن ماه‌ها دوره ترمیم است. اما به گزارش CNN، تیم‌های تحقیقاتی در سراسر جهان در تلاش‌اند تا روشی برای بازسازی طبیعی دندان‌ها در دهان انسان پیدا کنند.

دو دهه تلاش برای دندان‌های زیستی

دکتر آنا آنجلوا ولپونی (Ana Angelova Volponi) از کینگز کالج لندن، نزدیک به بیست سال است که روی رشد دندان‌ها در محیط آزمایشگاهی کار می‌کند. او در سال ۲۰۱۳ عضوی از تیمی بود که موفق شد از ترکیب سلول‌های انسان و موش، دندانی واقعی رشد دهد.

در تازه‌ترین پژوهش، ولپونی موفق شده است ماده‌ای بسازد که شرایط رشد دندان در آزمایشگاه را به محیط زیستی واقعی دهان نزدیک‌تر کند. این دستاورد، گامی مهم به‌سوی جایگزینی سلول‌های موش با سلول‌های انسانی در تولید دندان‌های آزمایشگاهی به‌شمار می‌آید.

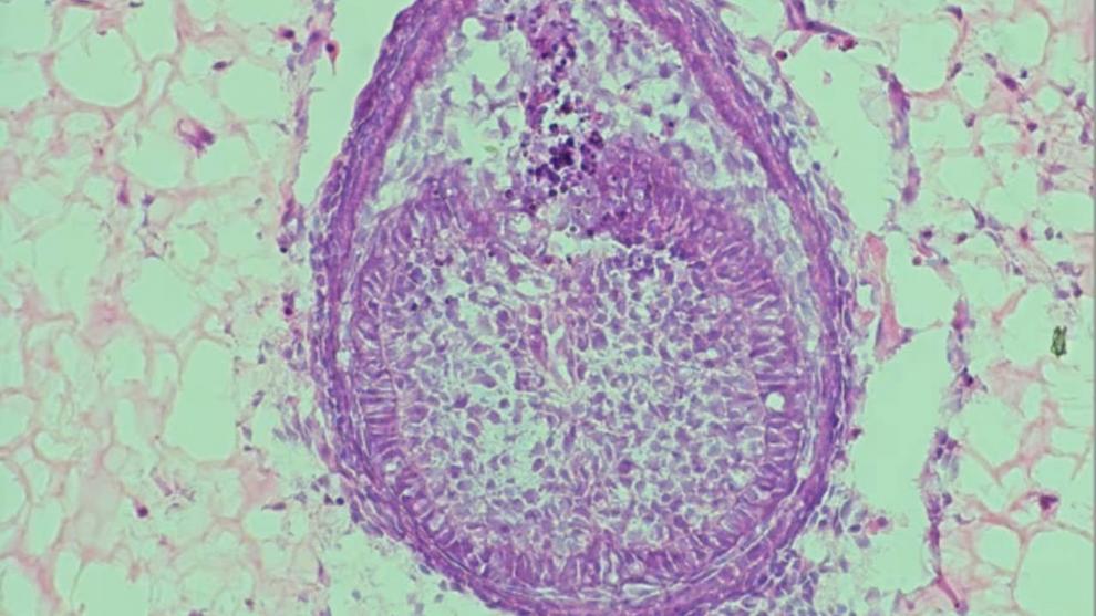
اولین گام‌ها: از سلول‌های لثه تا دندان کامل

به گفته ولپونی، ایده رشد دندان در محیط مصنوعی به دهه ۱۹۸۰ برمی‌گردد. در پژوهش سال ۲۰۱۳، او و تیمش نخستین بار سلول‌های لثه بزرگسال انسان را با سلول‌های پیش‌ساز دندان از جنین موش ترکیب کردند تا جوانه‌ای از دندان بسازند.

«این فرایند مثل سه‌پایه‌ای است که بر دو نوع سلول تکیه دارد. سلول‌ها باید با هم گفت‌وگو کنند تا دندان شکل بگیرد.» — دکتر ولپونی

نقش «داربست» یا Scaffold در رشد دندان

این محیط رشد که با عنوان «اسکفلد» (Scaffold) شناخته می‌شود، در شکل‌گیری دندان نقشی حیاتی دارد. تمرکز پژوهش اخیر ولپونی نیز بر توسعه همین ساختار بوده است. در حالی‌که نسخه ۲۰۱۳ از کلاژن ساخته شده بود، نسخه جدید از هیدروژل استفاده می‌کند؛ ماده‌ای پلیمری با درصد بالای آب که محیطی طبیعی‌تر برای رشد سلول‌ها فراهم می‌آورد.

چگونه دندان در آزمایشگاه رشد می‌کند؟

Xuechen Zhang، دانشجوی دکترا و همکار این پروژه، فرایند را این‌گونه توضیح می‌دهد:

«سلول‌های جنین موش را جمع‌آوری می‌کنیم، با هم ترکیب می‌نماییم و توده‌ای کوچک از سلول‌ها (Pellet) می‌سازیم. سپس آن را داخل هیدروژل تزریق کرده و حدود هشت روز رشد می‌دهیم.»

گامی نزدیک‌تر به استفاده از سلول‌های انسان

ولپونی می‌گوید هنوز موانع زیادی برای استفاده از دندان‌های پرورش‌یافته در بدن انسان وجود دارد. بااین‌حال، ماده جدید می‌تواند تعامل میان سلول‌ها را بهبود بخشد و راه را برای جایگزینی سلول‌های موش با سلول‌های انسان هموار کند.

به‌گفته او، هنوز مشخص نیست چگونه می‌توان به‌جای سلول‌های جنینی، از سلول‌های بزرگسال انسانی استفاده کرد. اما اگر این چالش برطرف شود، دو مسیر اصلی برای رشد دندان‌های واقعی در پیش است:

چرا دندان‌های زیستی بهتر از ایمپلنت‌ها هستند؟

  • سازگاری کامل با بدن: دندان‌های رشد‌یافته از سلول‌های خود فرد با بافت دهان هماهنگی کامل دارند.
  • بدون خطر عفونت یا پس‌زدگی: چون منشاء سلولی خود بیمار است، احتمال رد یا التهاب کاهش می‌یابد.
  • احساس طبیعی: برخلاف ایمپلنت‌های فلزی، دندان‌های زیستی حس واقعی و عملکرد طبیعی خواهند داشت.
  • ارگانیک و زنده: به‌جای جسمی بی‌جان در فک، ساختاری زنده و واکنش‌پذیر ایجاد می‌شود.

رقابت جهانی در بازسازی دندان

در سراسر جهان، گروه‌های پژوهشی مختلف در حال پیشرفت در این زمینه هستند. برای نمونه:

  • ژاپن – مؤسسه تحقیقات پزشکی بیمارستان کیتانو (Osaka): تیمی به رهبری Katsu Takahashi درمانی مبتنی بر آنتی‌بادی توسعه داده که می‌تواند رشد دندان را در بیماران بدون دندان تحریک کند. این روش وارد فاز آزمایش‌های بالینی انسانی شده و احتمالاً ظرف ده سال آینده به‌کار گرفته خواهد شد.
  • ایالات متحده – دانشگاه تافتس (Tufts University): تیم پاملا یلیک (Pamela Yelick) در سال ۲۰۲۴ موفق شد دندان‌هایی با ترکیب سلول‌های انسان و خوک در بدن خوک رشد دهد. هدف نهایی، تکرار این فرایند با سلول‌های کاملاً انسانی در فک انسان است.
  • دانشگاه واشینگتن: گروهی به رهبری پروفسور هانله روهولا-بیکر (Hannele Ruohola-Baker) توانسته از سلول‌های بنیادی استخراج‌شده از دندان‌های عقل اهدایی، سلول‌های بنیادی پالپ دندان انسان را تولید کند.

«هرچند ورود به مرحله درمان‌های بالینی زمان‌بر خواهد بود، اما سرعت پیشرفت‌ها در حال افزایش است. در دهه آینده ممکن است ترمیم یا تعویض دندان‌های زیستی به واقعیت تبدیل شود.» — پروفسور روهولا-بیکر

جمع‌بندی: آینده دندان‌پزشکی در دستان زیست‌فناوری

دستیابی به رشد دندان‌های واقعی از سلول‌های انسان، افقی نو در دندان‌پزشکی باز می‌کند. اگر چالش‌های فنی برطرف شود، ایمپلنت‌های تیتانیومی احتمالاً به تاریخ خواهند پیوست و بیماران می‌توانند دندان‌های طبیعی خود را دوباره بازسازی کنند — درست همان‌گونه که بدن، پوست یا استخوان را ترمیم می‌کند.

source

توسط expressjs.ir